Successful Treatment of a chronic tendon sheath injury with Arthramid® 2.5 iPAAG.

Successful Treatment of a chronic tendon sheath injury with Arthramid® 2.5 iPAAG.
A Star Performer: 12-Year-Old Showjumping Crossbred Gelding

In this case report we look at a 12-year-old crossbred gelding who show jumps competitively to 1.40m.

Recently, the gelding developed acute tenosynovitis of the left hind digital flexor tendon sheath (DFTS) following a competition. Despite the owner’s efforts, which included icing, wrapping, and confinement for seven days, there was no improvement in the effusion of the DFTS.

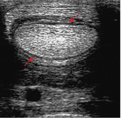
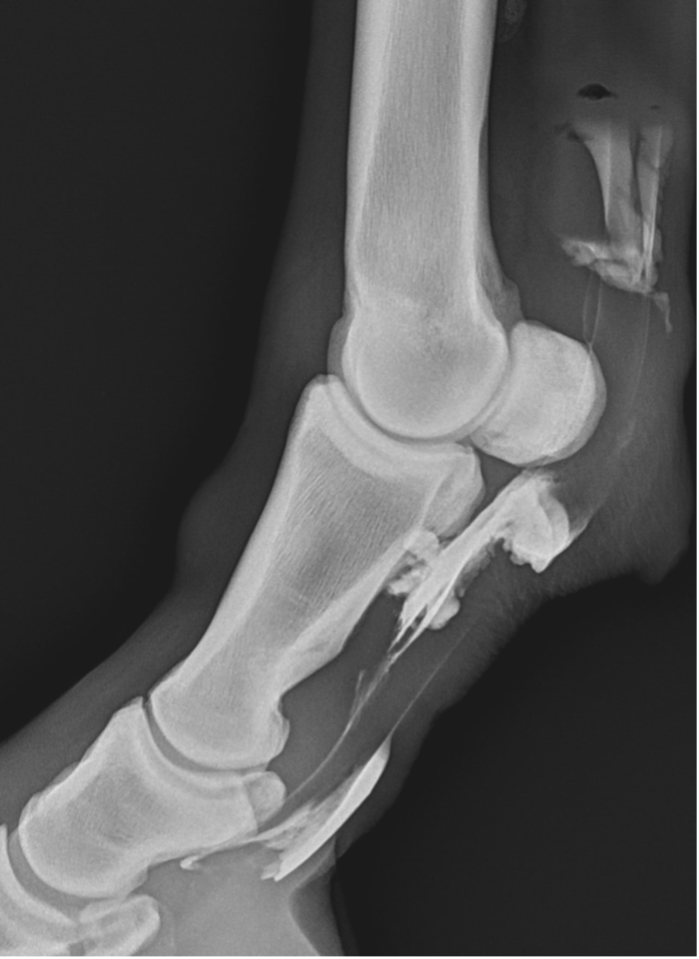
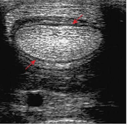
Upon further examination, contrast radiographs and ultrasound scans failed to identify any significant abnormalities apart from swollen synovium within the DFTS. To address this issue, our veterinary team administered 5mg of triamcinolone acetonide along with 20mg of HA, complemented by a compression wrap. Subsequently, the horse underwent a two-week confinement period in a small yard, followed by gradual reintroduction to exercise through 10 minutes of hand walking twice daily, with the distal limb wrapped for additional support.

After a month of progressive hand-walking, the horse resumed ridden work, gradually increasing in intensity and duration over a four-week period before returning to competition. This successful rehabilitation regimen allowed the horse to compete for an additional four months without any recurrence of tenosynovitis.

However, when the condition resurfaced, our client chose to pursue tenoscopy, which fortunately revealed no clinically significant abnormalities. Following the procedure (2-weeks post-surgery), 2ml (50mg) of Arthramid was injected into the sheath, followed by two weeks of hand walking and a seamless transition back to regular riding activities.

We’re thrilled to report that since the injection of Arthramid, the gelding has now been competing for a further eight months without any recurrence of effusion.

Interested in talking to us and learning more?

Send us a message and we will get in touch

BOOK NOW

Get The White Paper

This field is for validation purposes and should be left unchanged.

Secret Link