Case History:
Ciao Bella is a 17-year-old warmblood mare. She showed very successfully as a 3’6” Hunter in Montréal and on the East Coast from the age of 7 to 12 years old. She was purchased at the end of her 12-year-old year with the intention of stepping down to be a 3’0″ to 3’3” Children’s /Junior Hunter. Bella showed successfully with a Junior rider at this level as well as with an adult amateur in the 3’0” Hunters.
Medical History:
In April 2023, Bella developed a right hind lameness that was characterised by a toe drag, decreased push and mild abduction of the limb. The lameness was worse with the leg on the outside of the circle. She was negative to lower limb flexion and 1+ out of 5 positive to upper limb flexion. Lameness resolved with an intra-articular medial femorotibial block. Radiographs of the right stifle were unremarkable.
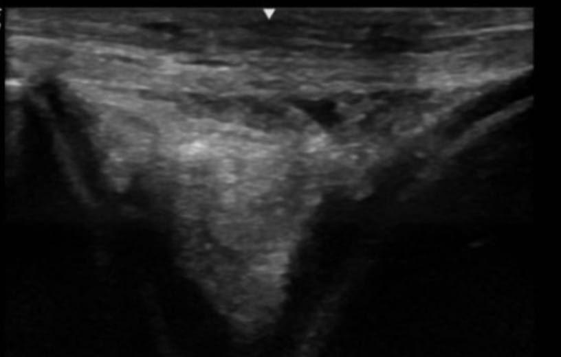
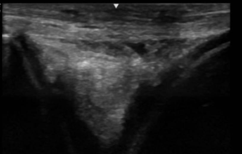
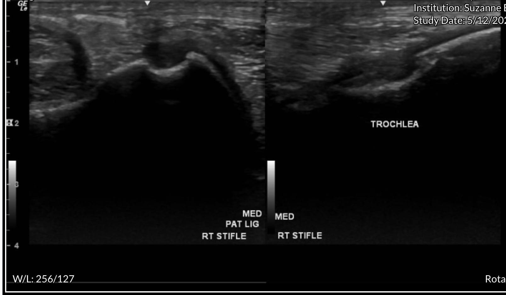
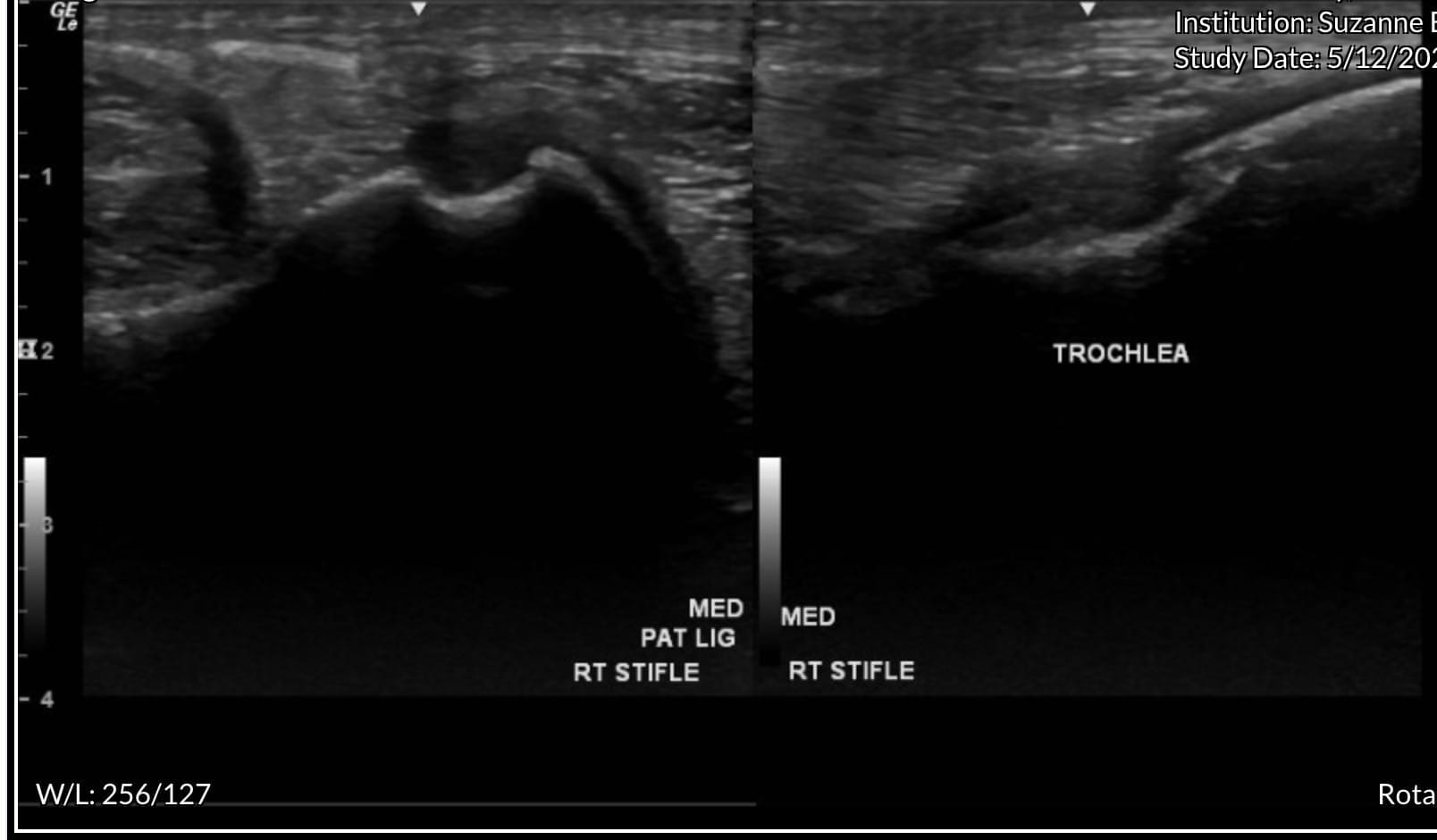
Ultrasound of the right stifle showed moderate medial femorotibial joint effusion with small hyperechoic particles, consistent with thin cartilage debris. There was a 1.5 cm x 0.5 cm defect in the abaxial portion of the medial trochlear ridge.
There was mild cranial meniscotibial ligament desmopathy. There was mild degenerative change in the axial portion of the medial meniscus. There was mild sonographic evidence of axial subchondral bone remodeling of the medial condyle at the level of the most weight-bearing portion. Ultrasound of the left stifle showed similar but less pronounced changes.
Surgery:
On May 19, 2023, Bella was taken to surgery for exploratory arthroscopy of both stifles. At surgery, there was fraying of the medial craniomeniscal tibial ligament that was debrided as deep to the meniscal attachment as possible.
There was generalized mild to moderate cartilage thinning and pitting. Changes in the left stifle were similar but less severe.
Post Op & Rehab:
Bella was stall confined for 30 days with a short course of NSAIDs. She had a gradual increase in hand walking for the next 60 days.
She was treated with three injections of an orthobiological (ACP) in both medial femorotibial joints at two week intervals. She then went to a rehabilitation facility where she worked on the Aquatread three days a week and walked on the Eurocizer two times a day for 90 days.
After 90 days at the rehabilitation facility, Bella was started back under saddle. She did not have an overt lameness at that time, but was generally short-strided and would pin her ears and toss her head when asked to go forward. She had a very poor quality canter.
After six months of controlled exercise along with hock and sacroiliac injections, it was apparent the mare no longer enjoyed her job and retirement was discussed.
Treatment:
On June 26, 2024, the right medial femorotibial joint was injected with 2mLs of Arthramid® and the left medial femorotibial joint was injected with 1mL of Arthramid®. Bella was rested for five days and gradually brought back to work under saddle over the next five days.
At the three to four week mark, there was a marked improvement in her attitude and willingness to go forward. Her trot was springier and the length of her canter stride was markedly increased.
At about 6 weeks after Arthramid® injection Bella was started back over fences. She had a more powerful jump than when she was purchased three years prior.
Outcome:
In September 2024, she showed at the Sacramento International horse show in the low Junior Hunters (3’3″) and was reserve champion. She showed in the national hunter derby and received scores in the 80s in both rounds.
Bella is continuing to perform at the same level with support from her veterinary team.
Case courtesy of:

Dr. Melissa Kielty
Pioneer Equine Veterinary Service
Alamo, CA



