Case History:
Levi, a 12-year-old Arab-cross gelding, actively competing in endurance riding, was presented with chronic intermittent lameness in the left forelimb. The issue had persisted for approximately nine months, impacting Levi’s performance and the owner’s ability to manage the condition effectively.
Presentation:
Levi had previously responded to conservative management, including icing of the distal limbs, systemic non-steroidal anti-inflammatory drugs (NSAIDs), and nutraceuticals. However, these measures had become insufficient in recent weeks, prompting further investigation.
On examination, Levi showed a Grade 2/5 lameness in the left forelimb, most evident when lunged to the left on a hard surface. Mild to moderate swelling was noted around the left proximal interphalangeal joint (pastern) joint, along with a mild reaction to flexion. The horse’s conformation was within normal limits.
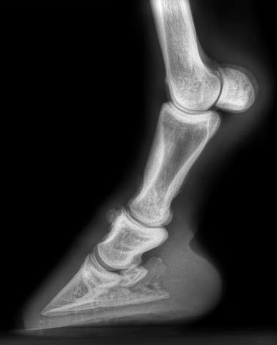
Diagnosis:
To localize the source of pain, intra-articular analgesia was administered into the left proximal interphalangeal joint. This resulted in complete resolution of the lameness, confirming the pastern joint as the primary source. Radiographs of both distal forelimbs revealed moderate osteoarthritis.
Treatment:
A single injection of 1mL Arthramid® was administered into the left pastern. Levi was rested for two weeks, followed by two weeks of light walking exercise. At the four-week follow-up, Levi showed marked improvement, with only mild asymmetry (Grade 1/5) and no response to flexion.
Encouraged by the progress, the horse was gradually reintroduced to trotting over the next month. At the eight-week assessment, the gelding was completely sound, and normal training resumed.
A six-month follow-up confirmed Levi remained sound with the owner reporting high satisfaction with the outcome.
Outcome:
This case highlights the effectiveness of Arthramid® in managing joint-related lameness in performance horses. Levi returned to full work and competition following a single injection, demonstrating the product’s potential to improve joint health and quality of life for equine athletes.
Case courtesy of:

Leigh de Clifford
BVSc, CertAVP, PGDipVPS, MRCVS
Matamata Veterinary Services
Waikato, NZ


